症例_MT



インプラント_T

1
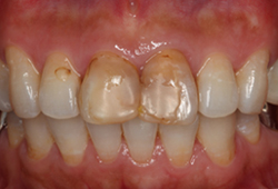
インプラント_術前
術  前
2
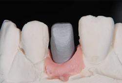
インプラント_01
3
インプラント_02
4
インプラント_03
5
インプラント_04
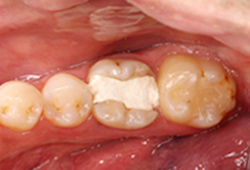
6
インプラント_05
7
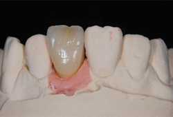
インプラント_06
8
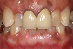
インプラント_術後
術  後
<21、メタルセラミック>

ジルコニアセラミック_T

1
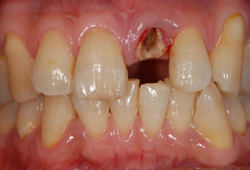
ジルコニアセラミック_術前
術  前
2
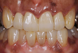
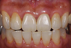
ジルコニアセラミック_術後
術後約3年6ヶ月
<11・21、連結冠>

メタルセラミック_T

1
メタルセラミック_術前
術  前
2
メタルセラミック_術後
術後約3年10ヶ月
<12・11・21・22、連結冠>

e.max_T

1
e.max_術前
術  前
2
e.max_01
3
e.max_02
4
e.max_術後
術  後
<47、インレー>